Course Description
An introduction to the principles of tomographic imaging and its applications. It includes a series of lectures with a parallel set of recitations that provide demonstrations of basic principles. Both ionizing and non-ionizing radiation are covered, including x-ray, PET, MRI, and ultrasound. Emphasis on the physics and …
An introduction to the principles of tomographic imaging and its applications. It includes a series of lectures with a parallel set of recitations that provide demonstrations of basic principles. Both ionizing and non-ionizing radiation are covered, including x-ray, PET, MRI, and ultrasound. Emphasis on the physics and engineering of image formation.
Course Info
Instructor
Departments
Learning Resource Types
grading
Exam Solutions
grading
Exams
notes
Lecture Notes
assignment_turned_in
Problem Set Solutions
assignment
Problem Sets
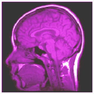
A brain scan image. (Image courtesy of David Cory.)